Vezi mai jos galeria foto cu o parte din cazurile noastre
Cât dureaza? Cât costă?
Sunt principalele întrebări ale pacienților - pentru ca un caz este complex si cuprinde multiple tipuri de tratamente vom da câteva exemple de cazuri tratate pentru a vă face o idee cum am răspunde la aceste întrebări
Tratamente efectuate : 2x tratamente de canal; aplicare pivot fibră de sticlă; 4 obturații, o coroană zirconiu
Cât a durat:3 săptămâni
Costuri: 2400 LEI
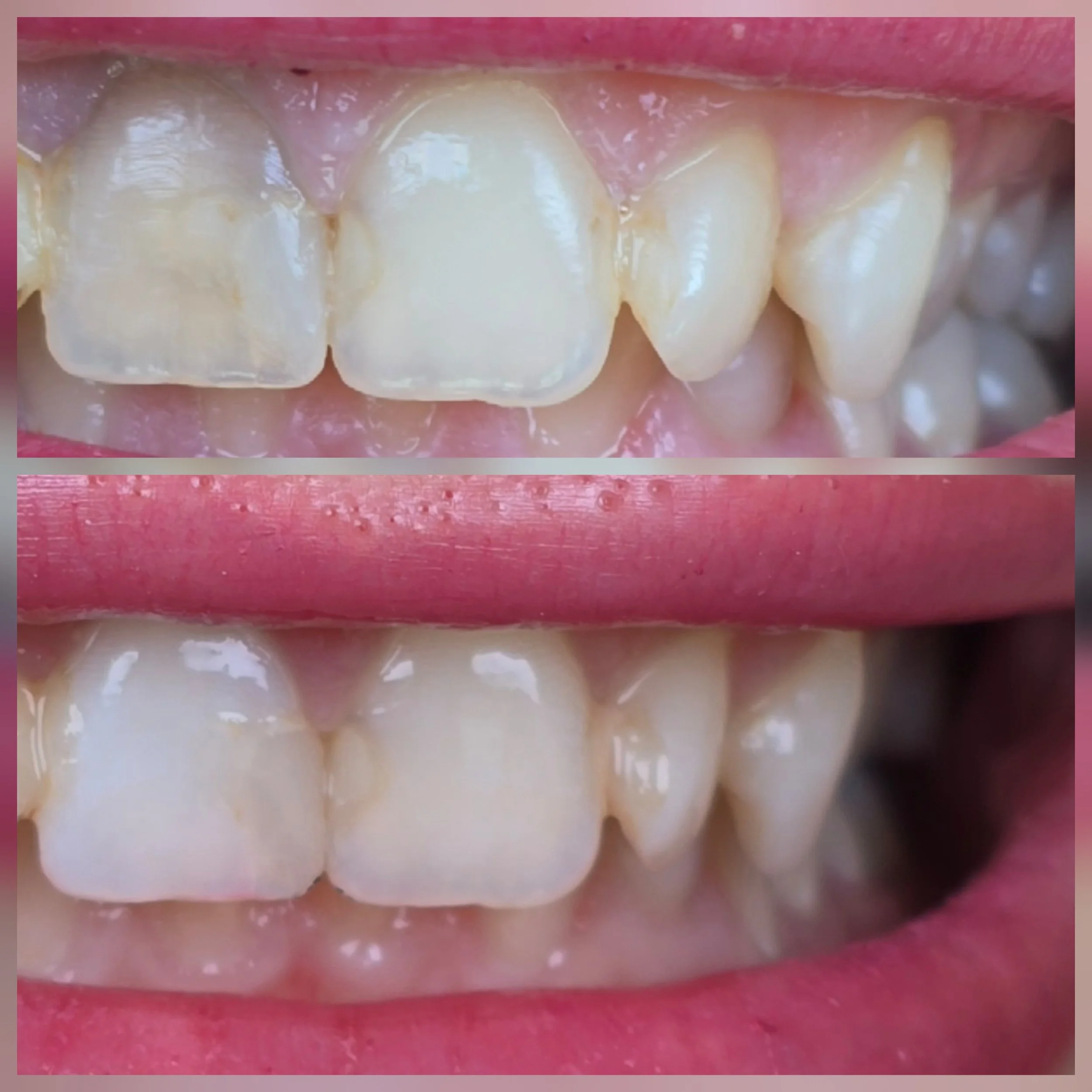
Tratamente efectuate : 2x tratamente de canal, 1x pivot fibră de sticlă, 1x obturații, 2x fațetări
Cât a durat:2 saptămâni
Costuri:1600 LEI
Tratamente efectuate : 5x alungire coronară, 5x pivot fibră de sticlă, 6x tratamente de canal, 9 coroane zirconiu
Cât a durat: 6 săptămâni (tratamentele chirurgicale necesită mai mult timp pentru vindecare)
Costuri: 13000 LEI
Tratamente efectuate : 4x coroane metalo-ceramice
Cât a durat:2 săptămâni
Costuri: 2200 LEI
*durata tratamentului s-a calculat cu 2-3 sedinte de o ora pe saptămână
*timpul mediu de lucru din momentul in care dintii sunt gata pentru lucrările protetice finale este de 2 saptamani














